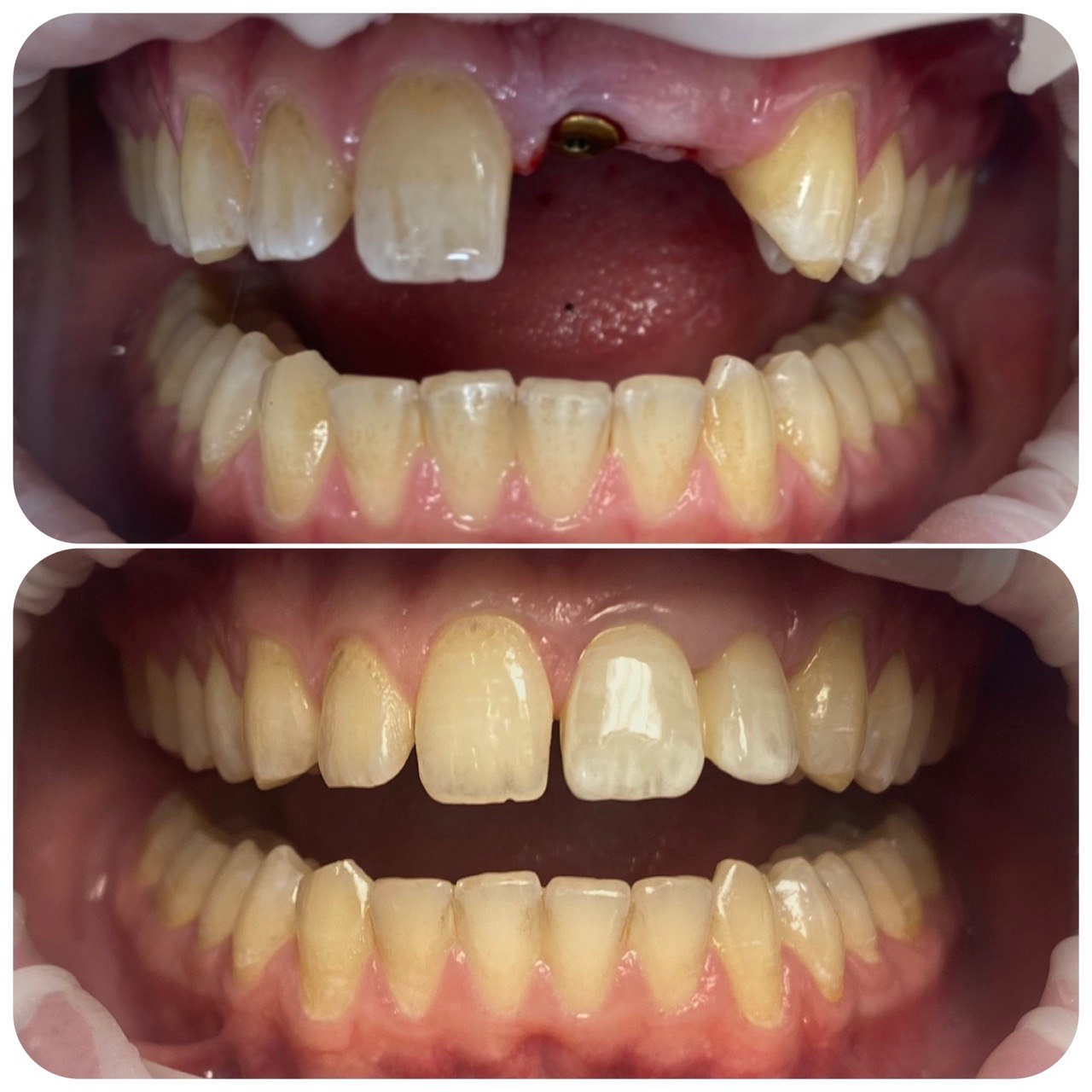
Возраст пациента 17 лет.
Утрата передних зубов в следствии травмы.
Учитывая возраст, установлен один имплантат в область отсутствующего зуба 2.1. Через 5-7 лет (периода активного роста) планируется установка имплантата в область отсутствующего зуба 2.2.
Утрата передних зубов в следствии травмы.
Учитывая возраст, установлен один имплантат в область отсутствующего зуба 2.1. Через 5-7 лет (периода активного роста) планируется установка имплантата в область отсутствующего зуба 2.2.
Мы создаем красивые и здоровые улыбки! Обращайтесь. Будем вам рады.
Клиника «Семейная Стоматология»
Адрес: г. Крымск, ул. Комарова, д. 8
Телефон: +7 (939) 899 - 73 - 16
Наш сайт: https://familystom-krymsk.ru/
Клиника «Семейная Стоматология»
Адрес: г. Крымск, ул. Комарова, д. 8
Телефон: +7 (939) 899 - 73 - 16
Наш сайт: https://familystom-krymsk.ru/
